Home - Patiënt info
Patiënt info gastro-entero - Patiënt info urogenitaal - Patiënt info mammo
Patiënt info angio - Patiënt info CT-scan -Patiënt info echografie - Patiënt info MRI
Patiënteninformatie bij klasieke radiologie

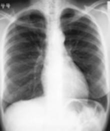
RX thorax

Thorax

Dit is het meest uitgevoerde onderzoek op de dienst radiologie. Een thoraxfoto kan om veel redenen worden aangevraagd.


Als routine onderzoek bij een screening vb. arbeidsgeneeskunde, pre- en post operatief
Bij vermoeden van een longletsel
Bij kortademigheid
Als opvolging van het effect van een behandeling
Bij een trauma van de borstkas

Er zijn in princiepe twee manieren om een thorax opname te maken:


De staande opname waar meestal een face en een profiel opname wordt genomen
De liggende opname bij een patiënt die niet kan staan, normaal enkel face opname tenzij anders aangevraagd


Het bewegingsapparaat

full spine

Misschien het meest gekende onderzoek op de radiologie. Namelijk de foto's van de beenderen.

De indicaties hiervoor kunnen sterk uiteenlopen.

Trauma : het opsporen van fracturen, luxaties,...
Tumoren : zowel goedaardige als kwaadaardige tumoren kunnen op de röntgenfoto's gezien worden
Botontkalking: Osteoporosis
Arthrose en arthritis
Opsporen van erfelijke botafwijkingen

Voorbereiding:


Over het algemeen is er geen specifieke voorbereiding noodzakelijk
Wel is het belangrijk dat er geen contrast in de darmen aanwezig is, bij opnames van wervels en bekken

Nazorg:

Geen specifieke nazorg in acht te nemen.

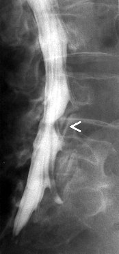
Myelografie

myelografie

Myelografie is het in beeld brengen van het ruggenmergkanaal door middel van een cotrasmiddel. Deze wordt door middel van een punctie ingespoten in de duraal zak in de lage rug. Er wordt dus in de rug geprikt zodat een naald door kan schuiven tussen de wervels tot in het ruggenmergkanaal. Dit kan gebeuren onder plaatselijke verdoving, maar dit is geen regel. Gesteld wordt dat er in elk geval moet geprikt worden. Er kunnen opnames genomen worden ter hoogte van de hals, borst of lage rug. Na de punctie worden er conventionele opnames gemaakt waarna de patiënt naar de CT-scan wordt gebracht om axiale beelden te maken in de regio waar zich mogelijk problemen voordoen.

Het is echter zo dat deze onderzoek steeds vaker vervangen wordt door een MRI vande rug, daar dit minder invasief is, minder risicos inhoudt en beter verdragen wordt door de patiënten.


Indicaties:

Het opsporen van een degeneratieve tussenwervelschijf
Tumoraal proces tussen de wervels
Trama met fractuur of verplaatsing van een wervel
Post opperatieve problemen

Voorbereiding:

De patiënt hoeft niet nuchter te zijn, al wordt dit in vele ziekenhuizen standaard wel zo gedaan.
Let in elk geval op voor contrast-allergie.
De patiënt wordt met zijnbed naar de radiologie gebracht
Soms wordt er een oogfundusonderzoek gedaan, dit om papilstuwing uit te sluiten wat een tegenindicatie voor voor lumbaal pucties

Nazorg:

Verplichte bedrust van 24h, om de drukverschillen ten gevolge van de punctie te laten op lossen.
Aan te raden is om extra vocht op te nemen, drinken bijvoorbeeld., of zo nodig een infuus.
Bij optreden van hoofdpijn, wordt de bedrust best verlengd.

Arthrografie
arthrografie

Een arthrografie wordt uitgevoerd om een gewrichtsholte te visualiseren. Hiervoor wordt een contrastmedium in het gewricht gespoten. Vaak wordt er eveneens lucht ingespoten. Dit om een duidelijker beeld te verkrijgen van de kraakbeenoppervlakken van de gewrichten. Na een aantal opnames op de conventionele radiologie wordt er een CT-scan gedaan om het gewricht beter nog te kunnen evalueren. Plaatselijke verdoving kan gegeven worden maar is niet de regel, denk erom dat er steeds een prik gegeven wordt, vaak is voor de punctie maar een prik nodig, met de verdoving worden het er twee.

Een arthrografie kan ook gebeuren ter voorbereiding van een MRI onderzoek.  De indicaties en de de voor- en nazorg blijven indentiek.

Indicaties:

Letsels aan pezen en/of ligamenten van het gewricht
Letsels van het gewrichtskapsel
Ontwrichting
Bot of kraarbeenletsels
Gewrichtsmuizen (dit zijn kleine stukjes bot die los in het gewricht voorkomen)

Voorbereiding:

Eventueel ontkleden van de punctieplaats, zoals schouder, heup, ...
Ruim ontsmetten van depunctieplaats om alle besmettingsrisicos uit te sluiten
Voor het inspuiten van het contrast wordt er best een foto genomen van het te onderzoeken gewricht.

Nazorg:

De patiënt van de onderzoekstafel helpen (oppassen voor syncope)
De patiënt zonodig helpen aankleden, het onderzocht gewricht moet zo weinig mogelijk worden belast, denk eraan dat het onderzoek nu nog niet is afgelopen
De patiënt zo snel mogelijk naar de CT-scan brengen

Na het onderzoek kan de patiënt nog een tijd last hebben van een "klotsend" gevoel in het gewricht, dit is normaal er werd immers een vloeistof en lucht ingespoten. Ook eventueel pijn kan voorkomen. Voor die pijn kan een klasieke pijnstiller genomen worden. Indien de pijn erger wordt of niet over gaat is het aan te raden de behandelende geneesheer te contacteren voor meer doelgerichte pijnmedicatie.

Valid XHTML 1.0!