home
 patiënt info angio - patiënt info RX - patiënt infor echo - patiënt info mammo - patiënt info MRI


Patiëntinformatie en CT-scan

voorbeeld van een ct-scanner

Welke onderzoeken worden er op de CT-scan uitgevoerd.
Wat zijn de voorbereidingen en wat is de nazorg.
De verschillende onderzoeken werden hier geplaatst volgens anatomische locatie:
Van het hoofd naar de voeten.


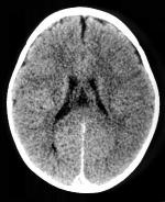
CT-scan van het hoofd

ct_schedel

Een CT-scan van de hersenen kan uitgevoerd worden met of zonder contrasttoediening. Welke methode gebruikt wordt is afhankelijk van de indicatie. In sommige gevallen kan het aangewezen zijn het onderzoek eerst zonder en daarna met contrast uit te voeren om een duidelijker beeld te verkrijgen in de pathologie van de patiënt.

Bij een trauma kan de radioloog de genomen beelden ook interpreteren in een venster waarin de beenderstructuren duidelijker zichtbaar zijn.
Indien er contrast toegediend zal worden, is het noodzakelijk om nuchter te zijn voor het onderzoek. Best is hiervoor om minstens vier uur voor het onderzoek niet te eten of te drinken.

Back up

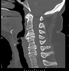
CT-scan va de wervelzuil

ct_cervicale_zuil_reconstructie

Een ct-scan van de wervelzuil wordt in princiepe aangevraagd om letsels ter hoogte van de wervels te beoordelen, of om de doorgangkelijkhdeid van het ruggemergkanaal te controleren.  Den hier aan het opsporen van een discus hernia, of een traumatisch letsel van eenwervel.

Vraagt in principe geen specifieke voorbereiding.

De patiënt gaat op de rug liggen op de onderzoekstafel en moet blijven liggen tot na het onderzoek. Het is hier van belang dat de patiënt niet meer van positie verandert.

Contrast wordt hier in sommige gevallen toegediend, maar dit is geen regel.

Back up

CT-scan van de hals


ct hals

Bedoeling van een scan van de hals kan zijn, het opsporen van een deffect er hoogte van de bloedvaten van de hals, of een abnormaal voorkomen van een bepaalde structuur in de hals, vb. een vergrote schildklier.

Een CT-scan van de hals wordt meestal uitgevoerd met contrast.

Uitzonderingen hiervoor zijn de onderzoeken van de schildklier.

Indien er contrast wordt gegeven moet de patiënt minstens vier uur voor het onderzoek nuchter gehouden worden.

Back up

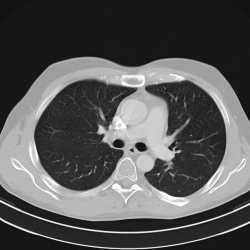
CT-scan van de thorax

CT-thorax

Hier wordt een beeld gevormd van de structuren van de borstkas. De longen, het mediastinum maar ook de bloedvaten en het hart worden beoordeeld. Tijdens het onderzoek zal de patiëtn gevraagd worden om de adem in te houden. Dit om een egaal opvolging van de beelen te krijgen. Ook is het uiteraard van belang om tijdens het onderzoek niet te bewegen. Door de steeds toenemende snelheid van de toestellen is dit echter niet een zware opdracht. Als je denkt dat een volledig longscan ongeveer een kleine dertig seconen in beslag neemt. Het kan echter zijn dat er volledigheidshalve een tweede opname wordt genomen, blijven liggen tot men u zegt dat het afgelopen is, is dus wel da boodschap.

Afhankelijk van de indicatie wordt er al dan niet besloten om contrast toe te dienen.

Ook hier is het dan nodig om de patiënt nuchter te houden ten minste vier uur voor het onderzoek.

Back up

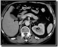
CT-scan van het abdomen of het kleine bekken
 
CT scan van het abdomen

Een CT-scan van het abdomen of het kleine bekken worddt genomen om eventuele problemen ter hoogte van de darmen, lever, nieren, milt, enz... te beoordelen.
Ook hier is het van groot belang dat de patiëtn tijdens het onderzoek niet beweegt. Er zal een aantal keren gevraagd worden om de adem op houden. Dit is eveneens belangrijk om een goede continuiteit van de beelden te garanderen.

Behalve wanneer het onderzoek wordt gedaan om een beeld te krijgen van de bloedvaten en de beenderstructuren, wordt in principe altijd contrast gegeven om te drinken. Intraveneuse contrast wordt toegediend behalve bij beenderonderzoeken.

Hier is dan een goede voorbereiding nodig.

De dag voor het onderzoek wordt er een reinigingslavement gegeven of een oraal laxeermiddel.
De dag van het onderzoek moet de patiënt een liter contrastmiddel drinken over een uur tijd. Dit om de darmen zo goed mogelijk te vullen. Op die manier kan een duidelijk beeld gevormd worden van de darmen. Ook is een lavement met contrast soms noodzakelijk. Dit om de laatste delen van de darm te vullen.

(Nota: in sommige centra geeft men in plaats van een lavement reeds de dag voordien een fles verdund contrast. Dit geeft echter een minder duidelijk beeld van de laatste darmlissen.)

Back up

CT van het skelet

Ct knie 3D reconstructieCT Knie

Een Ct-scan van het skelet wordt uitgevoerd wanner er een verdere evaluatie nodigs van een lestel dat gezien is op een klasieke foto. Denk aan fracturen, luxaties e.d., maar ook aan metastasen, arthrose,...Zo kan het bijvoorbeeld zijn dat een letsle niet duidelijk genoeg voorkomt op de foto's endat er dus twijfel bestaat. Maar ook kan het zijn dat een CT-scan noodzaklijk is om een duidelijk beeld te verkrijgen van een uitgebreide fractuur, om verder behandeling te bepalen.

Dankzij de moderne computertechnieken is het niet allen mogelijk om axiale beelden te maken. (lees schijfjes dwars op het lichaam) Maar ook om die beelden te reconstrueren tot een 3D-model. Dit geeft vaak een duidelijk beeld van het bot, en zijn letsel.

Back up

Valid XHTML 1.0!